世語圖說
2025年12月07日
登陸網站
聯繫我們
首頁
百科
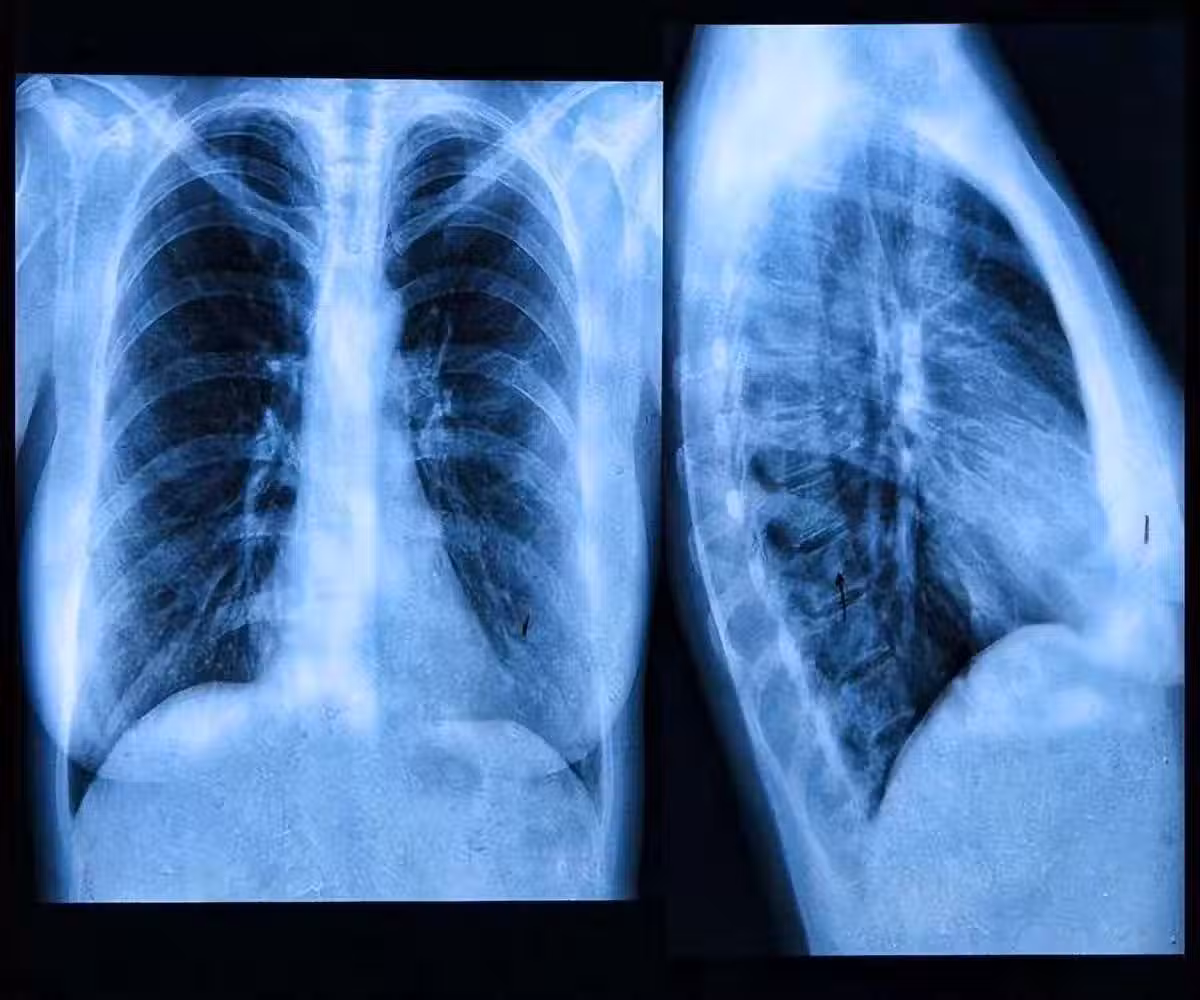
肺內有癌,腿疼告知?事實上,早期肺癌的5個跡象你更需要去留意!
2025-01-27
舒黛葉
反饋
5
/
6
4、肺部持續疼痛
如果人的肺部持續疼痛,也有可能是肺癌造成的,隨著病情的發展,肺癌也會引起骨骼疼痛和肌肉疼痛。
這種痛感多發生在背部和肩部,運動程度越大,疼痛感也會有所增加。因此患上肺癌是禁止做任何劇烈運動的。
上一頁
5
/
6
下一頁
千萬不要在網上買「這4樣」東西,水太深了,看完真後怕!
幸山輪 • 10K次觀看
十女配一男都不夠!!成為世界上「最缺乏男人的國家」,美女多到嫁不出去
喬峰傳 • 2K次觀看
身上的「紅點」怎麼越長越多 是肝臟出問題了 告訴你紅點是什麼.
許夢可 • 2K次觀看
快訊/台灣洗腎率全球第一 主因「不是吃太咸」 醫示警每日「喝1飲品」8年後恐導致腎衰竭
許夢可 • 290次觀看
50歲大叔「天天腹瀉8次」以為腸躁症「一照大腸鏡已4期」益生菌當藥吃,無法接受:沒血便啊
舒黛葉 • 320次觀看
好心提醒:體內有癌,睡覺時出現4種不適,必須早做癌篩查!
管輝若 • 2K次觀看
維修師傅提醒,這5種電器插頭不用時要及時拔掉,不然電費會蹭蹭漲,好多人忽略了!
幸山輪 • 200次觀看
豬身上最髒部位!有大量寄生蟲, 很多人貪便宜「還當作美食吃」對健康不利
管輝若 • 1K次觀看
把洗衣粉倒進衛生間馬桶,效果太厲害了,一年省下不少錢,試過的都說好
喬峰傳 • 210次觀看
醫生打死不吃的4種「水果」容易喚醒癌細胞,再愛吃也要管住嘴
管輝若 • 1K次觀看
買食用油時,不管什麼牌子,油桶上有這「3個字」儘量別買 超市員工透露:我們自己都不買
舒黛葉 • 730次觀看
「腦出血來臨」前睡覺先知!!醫生提醒:睡覺出現3個「異常」小心腦出血 三高人群更要注意!
舒黛葉 • 470次觀看
經常晚上晾衣服的要留意了,不是迷信,有講究的,別等吃虧就晚了
花伊風 • 210次觀看
房子繼承權再爭也沒用?2025新規,父母的房子一律這樣處理!
花伊風 • 210次觀看
年過60不能吃核桃!?醫生直言:不想常進醫院,3種堅果最好少吃!
管輝若 • 800次觀看
1瓶礦泉水含24萬塑膠微粒!男「天天喝爆洗腎」醫駁斥揭原因!
喬峰傳 • 5K次觀看
醫生:千萬別再這樣吃水果了!它含有大量寄生蟲,世衛組織早已拉進黑名單,卻還有人成袋提回家
管輝若 • 9K次觀看
狂抹「萬能網紅藥膏」10年…她全身爬滿粗紅斑紋!!醫揭恐怖真相
喬峰傳 • 550次觀看
為了養活4個孩子,英國媽媽參加「選醜比賽」奪冠,看到年輕的模樣後,網友們卻淚目了
喬峰傳 • 1K次觀看
銀行內部人說實話了!存單、存摺、銀行卡,哪一種存錢更好?
幸山輪 • 40次觀看
別怕丟臉不好意思了! 飛機上這五樣免費東西,空服員不主動給,但你可以大膽要
花伊風 • 170次觀看
若診斷有糖尿病後,請記得這「7種食物」一定要忌口!家裡有老人一定要多注意了
舒黛葉 • 390次觀看
別怕丟臉不好意思了! 飛機上這五樣免費東西,空服員不主動給,但你可以大膽要...
呂純弘 • 4K次觀看
女兒一直說身上發癢!!醫院檢查不出來 「 到家剪開被子」 父母含淚報警 :讓所有人都快吐了!
管輝若 • 700次觀看