世語圖說
2025年12月06日
登陸網站
聯繫我們
首頁
家庭
心碎!台南女嬰一直被「退回」,好心阿嬤領養後竟然發現「意外」的事實
2025-07-30
管輝若
反饋
2
/
4
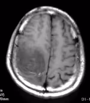
一次例行健康檢查後,醫生告訴何阿嬤,原來,這個寶寶患有重度身心障礙,除腦水腫外,還患有癲癇、過動、斜視等問題。
拿到殘障手冊當天,她抱著明琴崩潰大哭了很久。
上一頁
2
/
4
下一頁
樓上鄰居曬棉被「整件垂下來擋住我家窗戶」!他急PO文求助,網友指點「一招見效」讓她主動收場!
喬峰傳 • 2K次觀看
兒子女婿都送茶葉!!早晨一泡水「一個沉底、一個漂浮」…內行人一看秒懂:誰真心一清二楚
喬峰傳 • 260次觀看
婚宴廣邀3千人「0人到場」,連爸爸也沒來! 新郎心涼...網友看菜單後秒懂!
花伊風 • 70次觀看
被酸是吃軟飯!餐廳服務生「娶大10歲富婆」不被看好 直到她罹癌剃光頭「男方的決定看傻網友」.
花伊風 • 140次觀看
老婆每天買菜需要2到3小時...我心生懷疑跟蹤後,看到的一幕讓我作噁!
呂純弘 • 4K次觀看
婚宴廣邀3千人「0人到場」,連爸爸也沒來! 新郎心涼.... 網友看菜單後秒懂
管輝若 • 1K次觀看
公司組織去泰國旅遊,我到機場才發現老公沒給我訂機票,我沒聲張,默默地回家,把我倆的聯名帳戶里剩下的200萬都取了出來
呂純弘 • 120次觀看
公公突然病倒!臨終前緊緊「抓著破枕頭不讓碰」說了3遍燒掉 葬禮上「剪開枕頭」兒女都傻了...
呂純弘 • 770次觀看
主管訂婚宴上,我包1314元,結束後主管送我一份禮物,回家打開一看,瞬間傻眼了!
花伊風 • 70次觀看
公公突然病倒!臨終前緊緊「抓著破枕頭不讓碰」說了3遍燒掉 葬禮上「剪開枕頭」兒女都傻了..
花伊風 • 80次觀看
公司組織去泰國旅遊,我到機場才發現老公沒給我訂機票,我沒聲張,默默地回家,把我倆的聯名帳戶里剩下的200萬都取了出來!
花伊風 • 30次觀看
人妻尾牙喝醉「被同事撿屍」!她進公司忍不住「倉庫再1次」卻發文懺悔:如何面對老公?
花伊風 • 0次觀看
丈夫夜班,我害怕去閨蜜家借宿,彎腰脫鞋時,我看見躲在床下的丈夫~
舒黛葉 • 180次觀看
退休後「月收入五萬四」 我對女兒說只有一萬八,過生日「女婿上門一句話...」我心涼:多虧當初隱瞞!
管輝若 • 980次觀看
主管訂婚宴上,我包1314元,結束後主管送我一份禮物,回家打開一看,瞬間傻眼了~
管輝若 • 920次觀看
人妻暴怒!! 15歲女兒還擠一房「公婆卻各占一間」…網祭「這狠招」讓公婆秒退讓,人妻淚謝:終於有私人空間了
喬峰傳 • 170次觀看
14歲國中妹「睡夢中遭繼母狂刺亡」,老師在她的半年前得獎作文《偷著長大》發現死.亡預告!!
花伊風 • 50次觀看